Trous maculaires

M-MKT-VTM-FR-0006
Selon la pratique du Dr Garcin Thibaud MCU PH HDR
Université Jean Monnet Saint Etienne
CHNV des 15 20 Paris
Hôpital Lariboisière Paris
CHU de Saint Etienne

Introduction

La membrane amniotique humaine, dans la fermeture des trous maculaires, a été davantage utilisée et rapportée en tant qu'inlay (c'est-à-dire en position sous-rétinienne à l'intérieur/au fond du trou maculaire avec le "chorion en bas") ; néanmoins, le "véritable" overlay (c'est-à-dire en position épirétinienne avec le "chorion en haut") doit être considéré comme une option valable et peut être plus avantageuse sur le plan fonctionnel: il fournit des résultats anatomiques et fonctionnels encourageants à moyen terme, tout en présentant de nombreux avantages (plus sûr, pas de traumatisme supplémentaire de la zone fovéale, chirurgie plus courte, organisation des couches de rétine respectée, réversibilité potentielle) par rapport à l'inlay.

Le recouvrement ou le « non – bouchage/ non remplissage » du trou maculaire par un adjuvant (exogène ou non) sont moins populaires dans les séries publiées, car il est souvent plus difficile de recouvrir le trou maculaire avec un adjuvant et de s'assurer de l'absence de déplacement de cet adjuvant per et post opératoire précoce (source d’échec primaire de cette chirurgie).

Nous présentons le disque Visio Amtrix TM (membrane amniotique humaine lyophilisée ou MAL) épirétinien comme un adjuvant pertinent pour traiter les trous maculaires récurrents / résistants à une première chirurgie conventionnelle.

1 - Contexte

Les trous maculaires de pleine épaisseur supérieurs à 650μm1, les trous maculaires qui persistent ou récidivent après un traitement conventionnel comprenant le pelage de la membrane limitante interne (MLI) avec ou sans lambeau inversé2,3, et le décollement de rétine rhegmatogène (DRR) associé aux trous maculaires, en particulier dans les yeux forts myopes (FM)4, sont des problèmes chirurgicaux non résolus. Ils ont un mauvais pronostic fonctionnel et, dans certains cas, le risque de décollement permanent de la rétine menace l'intégrité oculaire. Il est important de rappeler que l'objectif principal est de restaurer la fonction, et pas seulement de combler le trou maculaire en se concentrant uniquement sur le résultat anatomique : ceci doit guider les choix techniques en termes de nature, de position et d'orientation de tout adjuvant utilisé pour fermer le trou maculaire plutôt que de le combler (et d'induire une fibrose non fonctionnelle).

Après la cryopexie maculaire, limitée aux récidives de DRR induites par le trou maculaire dans les yeux FM5,6, de nombreuses techniques chirurgicales ont été conçues pour réduire la taille du scotome central absolu: photocoagulation laser périfovéolaire7, tapotement des bords du trou maculaire8, et rétinotomie en arc de cercle sur la marge du trou maculaire9. D'autres chirurgiens ont cherché à fermer le trou maculaire des FM sans rétinopexie, soit ab externo10,11 (cale maculaire ou résection sclérale), soit plus récemment ab interno, en utilisant principalement le pelage étendu de la MLI12 ou le re-pelage13, le lambeau inversé14 et la transplantation autologue15. De manière plus marginale, certains auteurs ont proposé d'induire un décollement maculaire16 ou d'utiliser une greffe de rétine autologue17, ou une greffe de lambeau capsulaire de cristallin18. Aucune de ces méthodes n'est encore devenue le gold standard, compte tenu de l’incidence relativement faible de ces situations complexes. Enfin, les membranes amniotiques humaines cryopréservées (MAC), un tissu largement disponible, ont donné des résultats encourageants, utilisées soit comme un bouchon transplanté en sous-rétinien19 (en tant qu'inlay20), soit placées en position épirétinienne21 (en tant qu'overlay20). Quel que soit l'adjuvant, la question de savoir s'il faut ou non remplir le trou maculaire n'est toujours pas résolue car jusqu’à présent aucun essai clinique randomisé n’a testé l’adjuvant utilisé en inlay versus overlay, pour le traitement des trous maculaires complexes.

Les MAL, dont les propriétés physiques, biologiques et structurelles sont équivalentes à celles de la MAC, ont été utilisées pour la première fois en ophtalmologie en 200422. Bien qu'initialement conçue pour la surface oculaire, la MAL a ensuite été proposée comme inlay de trou maculaire23.

2 - Technique chirurgicale

Nous avons été les premiers à décrire les résultats à un an d'une technique chirurgicale originale utilisant un grand disque de MAL, coloré au bleu de trypan pour faciliter la manipulation et le positionnement sur un trou maculaire complexe (avec ou sans RRD) en tant que patch ou overlay24 comme détaillé sur la figure 1 ci-dessous et illustré sur la vidéo d’introduction.

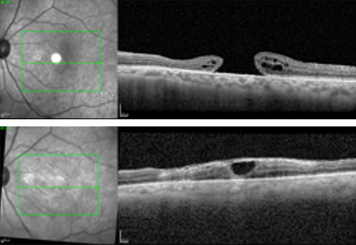
Figure1 :  ??????

Figure 1 : Premières publications utilisant un grand disque de membrane amniotique lyophilisée dans la prise en charge de trous maculaires complexes.

Depuis cette première série, nous avons affiné la technique pour en obtenir une nouvelle presque "no touch" hautement reproductible qui vise à garantir l'absence de déplacement du greffon épirétinien, appelée « The Art of UnRolling Adjuvant » (technique URA). Étant donné que le comportement de la MAL24 et de la capsule de cristallin antérieure autologue découpée au laser femtoseconde25 (FS-ALC qui est un disque parfait comme la MAL Visio Amtrix TM) est similaire lors de la préparation et de l'insertion, nous avons spécifié des abréviations pour chaque adjuvant, les techniques « URAM » et « URALC »26 respectivement: elles devraient être considérées comme utiles pour promouvoir une chirurgie mini-invasive, parmi les options pour fermer les trous maculaires récurrents ou persistants.

Conseils reproductibles (d’après nos premières et dernières publications) 24,26

Toutes les procédures chirurgicales ont été standardisées. Elles doivent être réalisées préférentiellement par des chirurgiens vitréo-rétiniens. Les patients ont subi une vitrectomie transconjonctivale pars plana (Constellation, Alcon, Fort Worth, TX, USA) standard à trois voies, de calibre 25G sous anesthésie générale ou anesthésie péribulbaire selon convenance personnelle du chirurgien. Une vitrectomie complète a été réalisée sous grand champ (BIOM, Oculus Surgical, Wetzlar, Allemagne) et sous petit champ (lentille plano-concave 30°, FCI, France) avec contrôle périphérique en indentant, la clé étant une visibilité parfaite pendant la transplantation de la MAL. Le colorant (ILM-Blue, DORC International, Zuidland, Pays-Bas) a été utilisé pour faciliter la dissection des proliférations vitréo-rétiniennes (PVR) lorsque cela s'avérait nécessaire en cas de DRR associé au trou maculaire, et surtout pour déterminer si des résidus de MLI étaient présents pour les trous maculaires réfractaires. En cas de DRR, une rétinopexie au laser et/ou une cryopexie ont été effectuées sur toutes les déchirures rétiniennes périphériques identifiées. La préparation et la transplantation de MAL dévitalisée stérile (Visio Amtrix (TM), TBF, Mions, France) sont détaillées dans les figures 2 et 3 ainsi qu’illustrées dans la vidéo 1.

Disque IAM
AS0012 ou AS0035
Couche spongieuse
Chorion à l'extérieur quand IAM hydratée (BSS)
Créer un rouleau comme pour une «DMEK»
Garder la configuration en rouleau comme pour une «DMEK» dans le cathéter

Disques
1 ou 2 mm => insertion dans TM
3 ou 5 mm => couverture du TM «OVERLAY»

Figure 2 : Conseils sur la préparation (1)

Figure 3 : Conseils sur la préparation (2)

Vidéo 1 : URAM Technique - OVERLAY (Chorion UP) (Am J Ophthalmol. doi: 10.1016/j.ajo.2024.05.027. Epub 2024 May 25)

Notre objectif était de recouvrir le trou maculaire par un patch de MAL avec un large recouvrement pour faciliter la manipulation et la mise en place. Pour cela, les Visio Amtrix TM AS0012 ou AS0035 peuvent directement être utilisées26. Il convient de noter que les autorités sanitaires françaises (HAS) recommandent l'utilisation de l'AS0012 (1 et 2mm plutôt destinées pour application en sous rétinien) ou de l'AS0035 (3 et 5mm plutôt destinées pour application en épirétinien) pour traiter les trous maculaires complexes (c'est-à-dire réfractaires). Nous avons coloré chaque MAL avec du bleu de trypan à 0,06 % (VisionBlue, DORC International) pour améliorer la visualisation lorsqu'il est inséré dans l'oeil et déroulé au pôle postérieur. Après une imprégnation de 15-20 secondes, le patch coloré au bleu a été rincé et immergé dans une solution saline équilibrée (BSS), formant spontanément un rouleau avec le chorion à l'extérieur (le chorion est toujours à l'extérieur lorsqu'il est réhydraté) : vous devez avoir un rouleau analogue au rouleau d’une greffe endothélio-descémétique (DMEK) de type 1 (voir figures 2 et 3), puis l'insérer dans un cathéter veineux 24G (Insyte, Becton Dickinson, Le Pont de Claix, France), en conservant la configuration du rouleau (sans être traumatique). Selon les préférences, vous pouvez manipuler le disque de MAL avec une pince (mords non striés : endgrasping ou autre) ou procéder à une aspiration directe à travers l'extrémité du cathéter. Le cathéter 24G a été raccordé à une seringue de produit viscodispersif (Alcon, USA) et partiellement purgé avant la transplantation d'adjuvant.

Après un échange partiel fluide-air à l'aide d'une backflush avec embout siliconé (ne laisser que le fluide résiduel au pôle postérieur), la MAL a été doucement injectée dans la cavité vitréenne à l'interface fluide-air par une sclérotomie de 25G (retirer le trocart à valve avant) : le disque de MAL s'est partiellement auto-déroulé spontanément en raison de la tension superficielle du mélange air-BSS-viscodispersif, minimisant ainsi la manipulation directe. Ceci évite les manipulations excessives
pendant la préparation et l'insertion du disque de MAL : il évite le contact direct avec d'autres tissus oculaires, autres que la rétine interne, et l'objectif final est de jouer le rôle d'un échafaudage et de promouvoir la guérison avec tous les facteurs contenus dans la MAL. La MAL doit ensuite être déroulée complètement en overlay (chorion vers le haut) à l’aide d’une backflush avec embout siliconé et centré dans la zone maculaire, et ce en asséchant le pôle postérieur parfaitement. La technique URAM ne nécessite pas l’utilisation de perfluorocarbones liquides : la standardisation de la préparation et de l'insertion permet de faciliter la manipulation à l'intérieur de l'oeil, et de diminuer le temps de l'intervention. La backflsuh avec embout siliconé a été utilisée pour centrer la MAL sur le trou maculaire et s'assurer qu'elle adhère correctement à la rétine interne sous-jacente, sans manipulation excessive. Pour aider à maintenir la MAL en place, seul un séchage parfait est nécessaire avec un déroulement parfait (pas de bords pré-enroulés). Aucun adjuvant supplémentaire n'est nécessaire : ni une goutte de substance viscodispersive (Viscoat, Alcon), ni un concentré plaquettaire autologue, ni un caillot sanguin autologue28,29. La devise "Less is more" doit être appliquée lorsque c'est possible en chirurgie. Le tamponnement SF6 20% (Arceole, Arcadophta, Toulouse, France) a été utilisé la plupart du temps pour traiter nos cas, mais parfois le tamponnement C2F6 ou silicone selon les situations plus ou moins complexes. Si l'on se réfère à la littérature, le déplacement du greffon est la principale cause d'échec chirurgical19,30-32 (non succès anatomique et de facto no succès fonctionnel): tous les conseils exposés précédemment permettent d'éviter cela le plus possible. Compte tenu de notre expérience, le déplacement de MAL est principalement lié aux choix chirurgicaux et/ou de manipulations non optimaux lors de la préparation/insertion/transplantation sur le trou maculaire : dans tous les cas, ce sont ces co-variables que nous pouvons contrôler en tant que chirurgiens (voir figures 4 à 6 et vidéo 1)

Déroulé du greffon idéalement en overlay «Chorion UP» (vers la cavité vitréenne)
Autodéroulement du rouleau (mix air / BSS) post échange FAX partiel
Déroulé du greffon «Chorion UP» très doux avec embout siliconé backflush
Vrai Overlay = «Chorion UP»

Figure 4 : Conseils sur l’insertion et transplantation (vrai overlay)

fig 5

Figure 5 : Conseils sur l’insertion et transplantation (pseudo overlay)

Déroulé du greffon en Overlay «Chorion UP» (vers la cavité vitréenne)
Autodéroulement MOYEN / TRÈS PARTIEL du rouleau (mix air / BSS) post échange FAX partiel
Déroulement du greffon EN BIMANUEL + CHANDELIER très doux avec embout siliconé backflush
Vrai Overlay = «Chorion UP»

Figure 6 : Conseils sur l’insertion et transplantation si déroulement spontané difficile du greffon

Des variations d’orientation de la MAL peuvent survenir, avec le chorion dirigé vers le haut (véritable overlay) ou vers le bas (pseudo-overlay, c’est-à-dire chorion tourné vers la rétine, contrairement au "véritable" overlay décrit par Letko et al.20 pour une utilisation en segment antérieur). Ces variations dépendent de la qualité d’insertion du disque de MAL dans le cathéter et de la quantité de BSS résiduelle au pôle postérieur. N'essayez pas d'inverser le disque à l'intérieur de l'oeil si l'auto-enroulement se fait chorion vers le bas (vidéo 2) : chorion vers le haut ou chorion vers le bas fonctionnent tous les deux, mais nous pensons que pour le processus de guérison, chorion vers le haut est plus intuitif par analogie avec l'utilisation de MAL pour la cornée. Cependant, le "pseudo-overlay" avec le côté chorionique sur la rétine interne améliore l'adhérence du disque de MAL par rapport au côté épithélial, quel que soit le tamponnement utilisé. Mais finalement, lorsque le disque est parfaitement déroulé sur 360°, quel que soit l’orientation de la MAL, elle adhère et joue son rôle sous tamponnement (principalement gazeux dans notre expérience / pas de luxation grâce à la technique URAM26) : nous recommandons cependant d’orienter le chorion vers le haut (vrai overlay) (Vidéo 1), pour respecter l’idée d’une meilleure diffusion des facteurs cicatrisants (par analogie avec l’utilisation en segment antérieur. Par ailleurs, l’orientation de la membrane est facilement reconnaissable avec ou sans OCT peropératoire: les bords du rouleau doivent être examinés comme des rouleaux de DMEK, le chorion est toujours à l'extérieur lorsqu'un rouleau est partiellement déroulé et hydraté; enfin, le chorion est plutôt irrégulier dans sa surface lorsque l’échange fluide-air est partiel ou complet, il est légèrement réfringent et plus brillant (que le côté épithélial), sans être collant comme peut l’être le chorion de la MAC (AM cryoconservée). Il faut faire varier l’angulation la sonde d’endo-lumière pour voir précisément l'interface (figure 5).

Vidéo 2 : URAM Technique - Pseudo OVERLAY (Chorion DOWN)

Dans de rares cas, le rouleau de MAL ne se déroule pas facilement : dans cette situation, il faut essayer d'être minimaliste dans les manœuvres : chandelier et manœuvres bimanuelles peuvent aider si besoin (Vidéo 3). Si c'est trop risqué ou impossible, essayez d'utiliser un autre disque de MAL : l'avantage de notre technique URAM est d'être atraumatique pour la rétine mais aussi pour l'adjuvant (le disque de MAL), contrairement à toutes les variations (publiées ou non, en congrès ou indexées dans Pudmed), dans lesquelles la MAL est tenue dans une pince au choix et insérée par la sclérotomie avec ou sans trocar (valvé ou non). Il n'est pas nécessaire de manipuler la MAL sous perfluorocarbones liquides (PFCL) ; et la manipulation sous silicone (surtout si silicone lourd ou 5000 cts) doit être évitée autant que possible pour prévenir les traumatismes sous-jacents de la rétine interne / rétine externe / épithélium pigmentaire rétinien et donc l'atrophie précoce ou retardée. Si le silicone est utilisé comme tamponnement, les étapes sont les suivantes : échange fluide-air complet et disque parfaitement déroulé et centré sous air, puis injection prudente de silicone (Silicone 1000cts, FCI, Paris, France ou Densiron 68, Fluoron, Ulm, Allemagne).

Vidéo 3 : URAM Technique - OVERLAY (Chorion UP) - Manœuvres bimanuelles

Il a été demandé aux patients de rester, au début de notre expérience 6 heures par jour pendant 7 jours postopératoires, sur le dos (pour ceux qui ont reçu de l'huile de silicone lourde) ou face ver le sol (pour ceux qui ont reçu du gaz ou de l’huile de silicone légère). Comme nous recommandons le gaz autant que possible, pour éviter toute hydratation précoce des bords du disque de MAL, un positionnement rapide en décubitus ventral (pour le gaz / l'huile de silicone légère) est «primordiale» dans les premières heures postopératoires. Pour ces cas particuliers de trou maculaire réfractaires, nous préférons contrôler les patients à J1 après l'opération pour garantir le bon positionnement du disque de MAL et répéter les directives de positionnement pour les premiers jours postopératoires. Le disque de MAL adhère correctement à la surface interne de la rétine dans les premières heures post opératoires : l’attitude post-opératoire précoce contribue au succès ou à l’échec de la chirurgie (avec déplacement précoce de la MAL). Le comportement du patient est la seule variable qui reste incertaine mais qui doit être "contrôlée" autant que possible avec des informations avant et très rapidement après l'opération (Jour 0 - quelques heures après l'opération/Jour 1).

Que se passe-t-il lors du suivi à long terme ? Globalement, la MAL bien transplantée en overlay est inerte et reste visible des années après la transplantation (recul de 6 ans): la position et la forme initiales de la MAL après la résorption gazeuse restent inchangées par la suite ; les bords peuvent parfois s'enrouler, probablement en raison d'une réhydratation précoce des bords du disque de MAL sans déplacement secondaire. Sous silicone, une rétraction peut se produire, mais elle est probablement secondaire à de multiples facteurs (antécédents du patient / yeux multi-opérés) et peut-être à la tension superficielle de l'huile avec le disque de MAL (et des « réglages » du tamponnement) (figure 7).

figure 7

Figure 7 : Exemple modification disque MAL post opératoire

3 - Rationnel - Pour aller plus loin24,26,33-35

Pour aller plus loin, nous vous invitons à lire les résultats et le rationnel exposés dans les diverses publications mentionnées et discussions sur certaines études publiant des variations de l’utilisation de la MAL pour les trous maculaires complexes / réfractaires.

Notre publication et technique princeps24 a été utilisée par TBF (Mions, France) pour la constitution de l'avis des autorités de santé pour proposer Visio Amtrix TM (pour le trou maculaire) https://www.has-sante.fr/jcms/p_3346404/fr/visio-amtrix.

Actuellement, les bonnes pratiques autorisent Visio Matrix TM pour les trous maculaires réfractaires, donc pas en première ligne : nous pensons que pour des conditions particulières, elles pourraient être utilisées en première ligne mais seulement pour les trous maculaires complexes très larges pour faire une chirurgie "one shot", avec un diamètre minimum supérieur à 650μm (Ch'ng et al.1 ont suggéré de mettre à jour le cut-off du groupe IVTS pour les trous maculaires larges, avec un diamètre supérieur à 650 μm) à baseline. Des études sont nécessaires pour confirmer ce point.

D'autre part, le disque de MAL ne doit pas être utilisé trop tard dans le processus algorithmique, peut-être directement en deuxième ou troisième ligne en fonction de différents paramètres (notamment diamètre minimal résiduel, RRD associé, yeux FM, adhésion du patient au traitement, œdème ou non sur les bords du trou maculaire, durée des symptômes, nombre de chirurgie(s) antérieure(s)). Nous pensons que le disque de MAL peut être une solution optimisée pour une chirurgie "one shot" après 1 ou 2 échecs du traitement conventionnel (pelage de MLI / repelage / lambeau de MLI inversé) : les biomarqueurs à l'examen clinique-paraclinique et en particulier l'OCT sont utiles pour planifier un traitement personnalisé. Nous sommes convaincus que le disque de MAL n'est pas nécessaire pour la fermeture des trous maculaires réfractaires de très petit diamètre (inférieur à 150-200μm) pour lesquels l'algorithme standard (pelage de MLI / repelage / lambeau de MLI inversé) a démontré son efficacité.

Références

  1. Ch'ng SW, Patton N, Ahmed M, et al. The Manchester Large Macular Hole Study: Is it Time to Reclassify Large Macular Holes? American Journal of Ophthalmology. 2018;195: 36–42.
  2. Tam ALC, Yan P, Gan NY, Lam WC. The Current Surgical Management of Large, Recurrent, or Persistent Macular Holes. Retina. 2018;38(7): 1263–1275.
  3. Reid GA, McDonagh N, Wright DM, Yek JTO, Essex RW, Lois N. FIRST FAILED MACULAR HOLE SURGERY OR REOPENING OF A PREVIOUSLY CLOSED HOLE: Do We Gain by Reoperating? — A Systematic Review and Meta-analysis. Retina. 2020;40(1): 1–15.
  4. Ortisi E, Avitabile T, Bonfiglio V. Surgical management of retinal detachment because of macular hole in highly myopic eyes. Retina. 2012;32(9): 1704–1718.
  5. Feman SS, Hepler RS, Straatsma BR. Rhegmatogenous retinal detachment due to macular hole. Management with cryotherapy and a Y-shaped sling. Arch Ophthalmol. 1974;91(5): 371–372.
  6. Laatikainen L, Harju H. Macular hole and retinal detachment. Acta Ophthalmol (Copenh). 1983;61(3): 337–342.
  7. Harris MJ, de Bustros S, Michels RG. Treatment of retinal detachments due to macular holes. Retina. 1984;4(3): 144–147.
  8. Kumar A, Tinwala SI, Gogia V, Sehra SV. Tapping of Macular Hole Edges: The Outcomes of a Novel Technique for Large Macular Holes. Asia Pac J Ophthalmol (Phila). 2013;2(5): 305–309.
  9. Charles S, Randolph JC, Neekhra A, Salisbury CD, Littlejohn N, Calzada JI. Arcuate retinotomy for the repair of large macular holes. Ophthalmic Surg Lasers Imaging Retina. 2013;44(1): 69–72.
  10. Sasoh M, Yoshida S, Ito Y, Matsui K, Osawa S, Uji Y. Macular buckling for retinal detachment due to macular hole in highly myopic eyes with posterior staphyloma. Retina. 2000;20(5): 445–449.
  11. Kono T, Takesue Y, Shiga S. Scleral resection technique combined with vitrectomy for a macular hole retinal detachment in highly myopic eyes. Ophthalmologica. Journal international d'ophtalmologie. International journal of ophthalmology. Zeitschrift für Augenheilkunde. 2006;220(3): 159–163.
  12. Al Sabti K, Kumar N, Azad RV. Extended internal limiting membrane peeling in the management of unusually large macular holes. Ophthalmic Surgery, Lasers & Imaging: the Official Journal of the International Society for Imaging in the Eye. 2009;40(2): 185–187.
  13. Hillenkamp J, Kraus J, Framme C, et al. Retreatment of full-thickness macular hole: predictive value of optical coherence tomography. Br J Ophthalmol. 2007;91(11): 1445–1449.
  14. Michalewska Z, Michalewski J, Adelman RA, Nawrocki J. Inverted internal limiting membrane flap technique for large macular holes. Ophthalmology. 2010;117(10): 2018–2025.
  15. Morizane Y, Shiraga F, Kimura S, et al. Autologous transplantation of the internal limiting membrane for refractory macular holes. American Journal of Ophthalmology. 2014;157(4): 861–869.e861.
  16. Szigiato AA, Gilani F, Walsh MK, Mandelcorn ED, Muni RH. Induction of Macular Detachment for the Treatment of Persistent or Recurrent Idiopathic Macular Holes. Retina. 2016;36(9): 1694–1698.
  17. Grewal DS, Mahmoud TH. Autologous Neurosensory Retinal Free Flap for Closure of Refractory Myopic Macular Holes. JAMA Ophthalmology. 2016;134(2): 229–230.
  18. Chen SN, Yang CM. Lens Capsular Flap Transplantation in the Management of Refractory Macular Hole from Multiple Etiologies. Retina. 2016;36(1): 163–170.
  19. Rizzo S, Caporossi T, Tartaro R, et al. A Human Amniotic Membrane Plug to Promote Retinal Breaks Repair and Recurrent Macular Hole Closure. Retina. 2019;39 Suppl 1: S95–S103.
  20. Letko E, Stechschulte SU, Kenyon KR, et al. Amniotic membrane inlay and overlay grafting for corneal epithelial defects and stromal ulcers. Arch Ophthalmol. 2001;119(5): 659–663.
  21. Moharram HM, Moustafa MT, Mortada HA, Abdelkader MF. Use of Epimacular Amniotic Membrane Graft in Cases of Recurrent Retinal Detachment Due to Failure of Myopic Macular Hole Closure. Ophthalmic Surg Lasers Imaging Retina. 2020;51(2): 101–108.
  22. Nakamura T, Yoshitani M, Rigby H, et al. Sterilized, freeze-dried amniotic membrane: a useful substrate for ocular surface reconstruction. Invest Ophthalmol Vis Sci. 2004;45(1): 93–99.
  23. Florent C, Coupier L, Merite PY, Meyer F, Guigou S. Human amniotic membrane plug technique for macular hole surgery: A case report. J Fr Ophtalmol. 2020;43(4): e151–e152.
  24. Garcin T, Gain P, Thuret G. Epiretinal large disc of blue-stained lyophilized amniotic membrane to treat complex macular holes: a 1-year follow-up. Acta Ophthalmologica. 2022;100(2): e598–e608.
  25. Garcin T, Gain P, Thuret G. Femtosecond laser-cut autologous anterior lens capsule transplantation to treat refractory macular holes. Eye. 2022.
  26. N Abihaidar KM, Garcin T. UnRolling epiretinal Amniotic Membrane & autologous Anterior Lens Capsule to close complex macular holes: the "URAM & URALC" techniques. Am J Ophthalmol. 2024.
  27. Park SW, Pak KY, Park KH, Kim KH, Byon IS, Lee JE. Perfluoro-n-octane Assisted Free Internal Limiting Membrane Flap Technique for Recurrent Macular Hole. Retina. 2015;35(12): 2652–2656.
  28. Frisina R, Gius I, Tozzi L, Midena E. Refractory full thickness macular hole: current surgical management. Eye. 2021.
  29. Chen H, Lin W, Tang Y, Wei Y. The Long-Term Follow-up of Autologous Blood Clot-Assisted Lyophilized Human Amniotic Membrane Covering Treatment Unclosed Macular Hole. Retina. 2023;43(8): 1340–1347.
  30. Tsai DC, Huang YH, Chen SJ. Parafoveal atrophy after human amniotic membrane graft for macular hole in patients with high myopia. Br J Ophthalmol. 2020.
  31. Qiao G, Xie L, Zou Q, et al. The use of biological amniotic membranes in the treatment of recurrent macular holes. Scientific Reports. 2022;12(1): 18661.
  32. Qiao G, Zhang XJ, Tang ZY, et al. Amniotic membrane for covering high myopic macular hole associated with retinal detachment following failed primary surgery. Int J Ophthalmol. 2022;15(5): 760–765.
  33. Garcin T. Letter to the Editor Regarding "Surgical Management of Recurrent and Persistent Macular Holes: A Practical Approach". Ophthalmol Ther. 2022;11: 919–922.
  34. Garcin T. Epiretinal scroll of lyophilized amniotic membrane used to close a large, long-standing, idiopathic, full-thickness macular hole. J Fr Ophtalmol. 2022;45(1): 142–143.
  35. Garcin T. Comment on: Amniotic membrane for covering high myopic macular hole associated with retinal detachment following failed primary surgery. Int J Ophthalmol. 2023;16(2): 328–332.
Retour en haut